Các Mức Độ Viêm Nha Chu & Giải Pháp Khi Không Thể Giữ Được Răng
Viêm nha chu là một trong những nguyên nhân hàng đầu gây lung lay và mất răng ở người trưởng thành, đặc biệt là nhóm trung niên – lớn tuổi. Việc phát hiện và điều trị kịp thời giúp ngăn ngừa tiêu xương, bảo tồn răng thật và tránh những biến chứng nặng nề về sau.
Viêm Nha Chu Là Gì?
Nha chu là tổ chức nâng đỡ quanh răng gồm: nướu (lợi), dây chằng nha chu và xương ổ răng. Khi các mô này bị viêm nhiễm kéo dài, sẽ dẫn đến hiện tượng tụt nướu, tiêu xương và cuối cùng là mất răng nếu không điều trị đúng cách.

Các Mức Độ Viêm Nha Chu
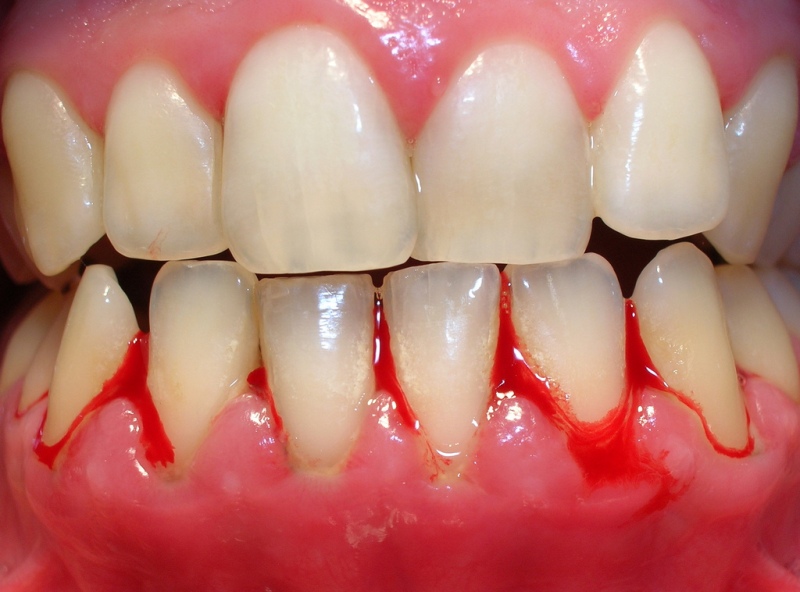
Giai đoạn 1: Viêm nướu (giai đoạn khởi phát)
- Nướu sưng đỏ, dễ chảy máu khi chải răng
- Có thể hơi đau nhẹ hoặc ngứa nướu
- Chưa gây tiêu xương, răng vẫn chắc chắn
Giải pháp: Lấy vôi răng định kỳ, hướng dẫn vệ sinh đúng, điều trị viêm nướu bằng thuốc súc miệng/gel tại chỗ. Nếu xử lý sớm, hoàn toàn có thể hồi phục.

Giai đoạn 2: Viêm nha chu nhẹ
- Nướu viêm nặng hơn, có túi nha chu nông (3–5 mm)
- Hơi thở có mùi, bắt đầu có dấu hiệu tiêu xương nhẹ
- Răng có thể hơi lung lay khi nhai cứng
Giải pháp: Cạo vôi – xử lý túi nha chu, điều trị kháng khuẩn, theo dõi định kỳ. Mục tiêu là ngăn tiến triển và phục hồi mô nâng đỡ răng.

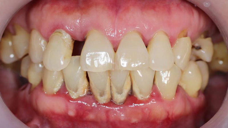
Giai đoạn 3: Viêm nha chu trung bình – nặng
- Túi nha chu sâu (>5 mm), tiêu xương rõ rệt trên phim X-quang
- Nướu tụt nhiều, răng dài ra, lộ chân răng
- Răng lung lay, ăn nhai khó khăn
Giải pháp: Điều trị chuyên sâu (cạo vôi dưới nướu, phẫu thuật nha chu), có thể kết hợp ghép xương – tái tạo mô nếu còn khả năng giữ răng. Cần theo dõi sát để ngăn răng mất thêm độ bám.

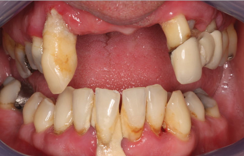
Giai đoạn 4: Viêm nha chu nặng – mất răng
- Răng lung lay nhiều, có thể rơi ra hoặc buộc phải nhổ
- Tiêu xương ổ răng lan rộng, ảnh hưởng thẩm mỹ và khả năng ăn nhai
Giải pháp: Trong nhiều trường hợp, răng không thể giữ lại. Lúc này, bác sĩ sẽ tư vấn các phương án phục hồi răng đã mất, trong đó trồng răng Implant là lựa chọn tối ưu.

Giải Pháp Khi Không Thể Giữ Được Răng Do Nha Chu
Khi răng đã bị mất do viêm nha chu, việc phục hồi đúng cách rất quan trọng để tránh tiêu xương thêm và khôi phục chức năng ăn nhai.
Trồng răng Implant – Giải pháp hiện đại hiệu quả nhất
Phù hợp với:
- Mất một răng, nhiều răng hoặc toàn hàm
- Xương hàm còn đủ thể tích, tình trạng viêm nha chu đã được kiểm soát

Ưu điểm:
- Thay thế được cả chân và thân răng, giúp ngăn tiêu xương hiệu quả
- Cảm giác ăn nhai chắc chắn như răng thật
- Thẩm mỹ cao, tuổi thọ lâu dài (trên 15–20 năm nếu chăm sóc tốt)
- Không ảnh hưởng răng kế bên như cầu răng
Hạn chế:
- Chi phí cao hơn so với các phương án khác
- Cần thời gian chờ tích hợp xương
- Bắt buộc phải điều trị hết viêm nha chu trước khi cấy
Đây là giải pháp tối ưu nhất cho những trường hợp mất răng do viêm nha chu, đặc biệt với người muốn phục hồi lâu dài, giữ cấu trúc xương và thẩm mỹ gương mặt.
Làm Cầu Răng Sứ – Phục Hình Nhanh, Chi Phí Hợp Lý
Bác sĩ sẽ mài nhỏ hai răng thật kế bên vị trí mất răng để làm trụ, sau đó gắn một dãy răng sứ nối liền (gọi là cầu răng) để che kín khoảng trống.
Phù hợp với:
- Mất 1–2 răng, hai răng bên cạnh còn chắc khỏe, không lung lay do nha chu
- Không đủ điều kiện xương hàm hoặc tài chính để cấy Implant

Ưu điểm:
- Thời gian nhanh (khoảng 3–5 ngày là hoàn tất)
- Đảm bảo ăn nhai tương đối tốt
- Chi phí thấp hơn Implant
- Thẩm mỹ đẹp nếu sử dụng sứ chất lượng cao
Hạn chế:
- Phải mài răng thật kế bên, có thể làm yếu răng trụ nếu răng không khỏe
- Không ngăn được tiêu xương tại vùng mất răng → sau thời gian dài có thể gây tụt nướu, hở kẽ
- Tuổi thọ trung bình khoảng 7–10 năm
Cách Phòng Ngừa Viêm Nha Chu Hiệu Quả
Viêm nha chu thường tiến triển âm thầm và chỉ biểu hiện rõ khi đã ở giai đoạn nặng. Vì vậy, chăm sóc răng miệng đúng cách và kiểm tra định kỳ là chìa khóa để phòng ngừa hiệu quả:
-
Chải răng đúng cách ít nhất 2 lần mỗi ngày, kết hợp với dùng chỉ nha khoa hằng ngày để loại bỏ mảng bám và thức ăn thừa ở kẽ răng – nơi bàn chải khó tiếp cận. Đây là bước quan trọng giúp ngăn vi khuẩn gây viêm phát triển.
-
Lấy vôi răng và khám nha khoa định kỳ 3–6 tháng/lần. Vôi răng tích tụ lâu ngày là môi trường lý tưởng cho vi khuẩn nha chu, vì vậy việc cạo vôi giúp giữ nướu luôn khỏe mạnh và phát hiện sớm các dấu hiệu bất thường.
-
Không hút thuốc lá, đồng thời hạn chế các loại thực phẩm chứa nhiều đường và tinh bột dính. Thuốc lá làm giảm khả năng hồi phục của mô nướu, còn đường và tinh bột là “nguồn sống” cho vi khuẩn gây viêm nha chu.
-
Điều trị sớm các bệnh răng miệng khác như sâu răng, viêm tủy… nhằm tránh tình trạng vi khuẩn lan sang mô nha chu và gây tổn thương lan rộng.
GOOD DENTAL – ĐỊA ĐIỂM ĐIỀU TRỊ NHA CHU UY TÍN TẠI TPHCM
Good Dental tự hào là địa chỉ nha khoa uy tín trong điều trị nha chu, mang đến cho khách hàng trải nghiệm dịch vụ chất lượng cao, an toàn và hiệu quả lâu dài.
Tiêu chuẩn dịch vụ đẳng cấp
-
Quy trình thăm khám, điều trị tuân thủ nghiêm ngặt tiêu chuẩn quốc tế, đảm bảo an toàn tuyệt đối.
-
Chụp X-quang miễn phí giúp bác sĩ chẩn đoán chính xác tình trạng răng – nướu.
-
Miễn phí thăm khám, tư vấn giải pháp tối ưu trước khi bắt đầu điều trị.
-
Cơ sở vật chất hiện đại, trang thiết bị tiên tiến hỗ trợ quá trình chẩn đoán và điều trị đạt kết quả tối ưu.
Đội ngũ chuyên gia hàng đầu
-
Tiến sĩ – Bác sĩ Nguyễn Ngọc Phúc với hơn 10 năm kinh nghiệm và hàng nghìn ca điều trị thành công.
-
Đội ngũ bác sĩ Đại Học Y Dược TPHCM giàu kinh nghiệm, tận tâm, luôn đặt lợi ích và sức khỏe răng miệng của khách hàng lên hàng đầu.
Chi phí hợp lý & hỗ trợ thanh toán linh hoạt
-
Bảng giá điều trị rõ ràng, minh bạch.
-
Giúp khách hàng dễ dàng lên kế hoạch điều trị.
-
Nhiều hình thức thanh toán tiện lợi: tiền mặt, thẻ hoặc chuyển khoản
Địa chỉ: 317A Ngô Gia Tự, phường Vườn Lài, TP HCM
Hotline: 028 6279 2222
Hãy để lại số điện thoại của bạn, chúng tôi sẽ gọi điện tư vấn cho bạn
-
6 Cách Điều Trị Viêm Nướu Hiệu Quả Và An Toàn Tại Nhà
15/07/2024
Viêm nướu (viêm lợi) là một bệnh lý răng miệng phổ biến nhưng có thể gây ra những hậu quả nghiêm trọng nếu không được điều trị kịp thời. Nha khoa Good Dental gửi bạn thông tin chi… -
Top 5 Loại Thực Phẩm Nên Ăn Khi Trồng Răng Implant
15/10/2024
Chế độ ăn uống, đặc biệt là thực phẩm nên ăn và kiêng khi trồng răng implant, có vai trò quan trọng trong việc thúc đẩy quá trình hồi phục và giúp Implant tích hợp tốt hơn vào… -
Tầm soát răng miệng định kỳ bao lâu một lần?
17/05/2024
Ngày nay, việc chăm sóc sức khỏe răng miệng cũng đóng vai trò quan trọng trong việc bảo vệ sức khỏe tổng thể. Việc thường xuyên thăm khám và kiểm tra sức khỏe răng miệng giúp duy trì… -
Triệu chứng viêm nha chu
15/07/2024
Đã bao giờ bạn thấy đau răng đến mức không ăn được chưa? Khi đánh răng cũng thường xuyên bị chảy máu, đó có thể là dấu hiệu của triệu chứng viêm nha chu. Cùng nha khoa Good… -
Bệnh viêm nha chu là gì?
02/01/2025
Bệnh viêm nha chu là gì? Có dấu hiệu nhận biết hay không? Viêm nha chu là gì? Nha chu là tổ chức ở quanh răng để chống đỡ và lưu giữ cho chân răng ở trong xương.…


